
Zhangzhou, Fujian, 21/12/2018(El Pueblo en Línea) - Un hombre de Zhangzhou (en el sudeste de China) ha sido diagnosticado con una fuerte infección en los pulmones causada por hongos, fruto de la extra?a costumbre que tenía: oler sus calcetines sucios cada día después de trabajar, tal como informan estos días varios medios locales.
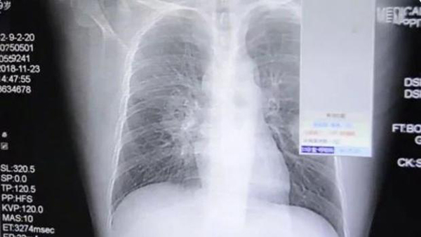
Peng, de 39 a?os de edad, fue en un primer momento a un hospital de Zhangzhou, provincia de Fujian, con tos y dolores en el pecho el 23 de noviembre. Los médicos pensaron que tenía una neumonía, pero a medida que iba empeorando y presentaba más dificultades para respirar le hicieron más pruebas, en las que le encontraron que lo que tenía eran hongos en el pulmón.
Fue entonces cuando Peng informó a los médicos de su extra?o hábito: disfrutaba oliéndose los calcetines después de un día de intenso trabajo. ?Todos los días, después del trabajo, olía los calcetines antes de lavarlos?, explicó a los medios locales uno de los médicos.
Los médicos dijeron que esa manía de oler los calcetines, unida a un sistema inmunitario débil y a la falta de sue?o —como consecuencia de su reciente paternidad— hizo que derivara en una infección pulmonar.
Sillitas para esperar el autobús,
la última invención en una economía compartida
Se filtra por error el sexto episodio
de ?Juego de Tronos?
Un robot monje aprende a hablar inglés
Se estrena el documental
sobre “mujeres de consuelo” de China
57 universidades chinas
entre las 500 mejores del mundo
Las 10 cadenas hoteleras
más grandes del mundo
?Cuánto paga un residente extranjero
por un alquiler en Beijing?
Un graduado de Tsinghua convierte
la cría del esturión cuchara en una mina de oro
La dedicación de una ni?a
al arte de la ópera de Pekín


