
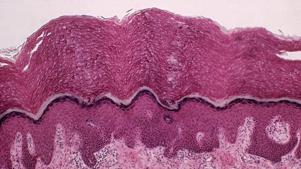
Espacios con fluido intersticial descubiertos en el tejido conectivo bajo la piel humana. Eric V. Grave / Gettyimages.ru
Beijing, 28/03/2018 (El Pueblo en Línea) - Un equipo de fisiólogos de diversas instituciones estadounidenses ha identificado una red de compartimentos interconectados y rellenos con líquido que se encuentra entre distintos tejidos del cuerpo humano, destaca RT.
Esos científicos proponen llamar a su descubrimiento intersticio. Ese sistema sería responsable de acumular el previamente conocido como fluido intersticial, del que los adultos poseen alrededor de 12 litros y al que los fisiólogos solían referirse como un espacio entre las células, no como un órgano.
De acuerdo al artículo publicado este 27 de marzo por la revista Scientific Reports, el intersticio absorbería los choques para proteger los tejidos vitales del cuerpo. Por otro lado, sus estructuras anatómicas contribuirían a la propagación de metástasis cancerosas, edemas o fibrosis. Así, se apoyaría sobre una malla de proteínas flexibles (colágenos) y se encontraría tanto en la dermis profunda como en las vísceras, los músculos y los pulmones.
Para identificar su existencia, estos especialistas emplearon métodos microscópicos: biopsia congelada e histología con agentes fluorescentes. Estas pruebas establecieron patrones reticulares semejantes entre tejidos que, hasta el momento, se estimaba que no tenían ninguna correlación anatómica.
En sus experimentos, los investigadores utilizaron tanto material recogido a pacientes voluntarios entre 2012 y 2013 como muestras procedentes de bancos de tejidos.
Sillitas para esperar el autobús,
la última invención en una economía compartida
Se filtra por error el sexto episodio
de ?Juego de Tronos?
Un robot monje aprende a hablar inglés
Se estrena el documental
sobre “mujeres de consuelo” de China
57 universidades chinas
entre las 500 mejores del mundo
Las 10 cadenas hoteleras
más grandes del mundo
?Cuánto paga un residente extranjero
por un alquiler en Beijing?
Un graduado de Tsinghua convierte
la cría del esturión cuchara en una mina de oro
La dedicación de una ni?a
al arte de la ópera de Pekín


